慢性子宮内膜炎 | 不妊治療・体外受精専門の池袋えざきレディースクリニック

慢性子宮内膜炎

慢性子宮内膜炎

慢性子宮内膜炎

慢性子宮内膜炎について

近年、慢性子宮内膜炎が着床不全や反復流産、早産に関係することが分かってきました。

慢性子宮内膜炎とは子宮内膜の慢性的に持続する炎症です。急性の子宮内膜炎と異なり自覚症状がみられないのが特徴です。

近年、科学的に最も信頼のおける臨床研究によると、反復着床不全の方が適切な治療を受けた場合、慢性子宮内膜炎がない方と同等の良好な臨床妊娠率、生児獲得率にまで改善すると報告されています。

当院では慢性子宮内膜炎は90%以上の患者さんで改善がみられています。

慢性子宮内膜炎の診断

通常の超音波検査や最近培養検査では慢性子宮内膜炎を診断することはできません。
診断は子宮鏡検査と子宮内膜組織検査(CD138免疫組織染色)によります。
慢性子宮内膜炎という概念はあるものの子宮内膜炎の一律な診断基準がありません。いくつかの検査を総合的に診断していくことになります。
ある医師は慢性子宮内膜炎と診断しても、別の医師はこの程度なら子宮内膜炎とは診断しないかもしれないということです。つまり慢性子宮内膜炎は医師・クリニックにより見解が分かれます。
その曖昧さ、統一性がないことを前提に、以下の内容をお読みになってください。

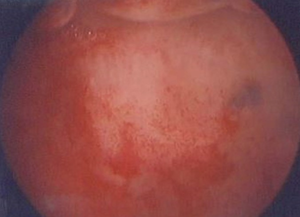
子宮鏡検査(子宮内視鏡)

子宮内を内視鏡で観察します。入院、麻酔ともに不要で短時間で終わります。
慢性子宮内膜炎の場合、子宮内腔の発赤、粘膜のむくみ、多数の小ポリープが見られたりします。

子宮鏡はその場で結果を確認できることが利点ですが、子宮鏡だけでは子宮内膜炎の6割くらいしか診断できないとされており、他の検査と併用する場合もあります。

慢性子宮内膜炎の子宮鏡所見

子宮内膜組織検査(CD138免疫組織染色)

慢性子宮内膜炎の子宮内膜においてCD138という細胞マーカーが陽性の細胞(形質細胞)が認められます。子宮内膜組織を採取し、特殊な病理検査を行うことにより、慢性子宮内膜炎の診断を行います。

CD138 免疫組織染

この検査である程度以上のCD138陽性細胞が見られた場合を子宮内膜炎と診断することが現時点での主流ですが、必ずしも正確な検査ではありません。
又、炎症があっても細菌感染が原因で起きたものなのかどうか、その細菌の種類などはこの検査ではわかりません。
排卵後に検査を行うクリニックもありますが、生理直後の方がCD138陽性細胞の検出率が高いため当院ではこの時期に検査を実施しています。
子宮内に器具を挿入して子宮内膜の組織を少量採取します。器具がスムースに入れば1分くらいで処置は終わります。生理痛のような軽度の痛みが出ることがあります。

慢性子宮内膜炎の治療

抗生剤治療

慢性子宮内膜炎の病原である細菌(腸球菌、マイコプラズマ,ウレアプラズマなど)が、複数の研究で報告されています。これらの細菌に有効な抗生剤を、単剤だけでなく2種類併用で投与する方法もあります。ご本人のアレルギーの有無などによって使い分けます。適切な抗生剤の治療を受けていただくと、99.1%の方で慢性子宮内膜炎が改善します。

第1治療
ビブラマイシン錠
第2治療
グレースピット錠+フラジール錠

上記2剤併用して服用します。
ビブラマイシンで治癒しない場合は第2治療としてシプロキサンを使用するケース大半です。検査会社がスペインにあるため、スペインでの細菌データに基づいてシプロキサンが推奨されているためです。
細菌の状態は地域によって変化するので、スペインと日本とでは原因の菌が異なります。
ウレアプラズマやマイコプラズマなど慢性子宮内膜炎の原因となる菌に対して日本ではシプロキサン耐性菌(シプロキサンが効かない菌)が増加しています。
そのため当院では日本における耐性菌の最新情報に基づきシプロキサンでなくグレースピットを選択しています。

上記2段階の治療でほとんどの慢性子宮内膜炎は改善しています。

プロバイオティクス治療

乳酸菌に代表される善玉菌を接種することで、子宮内の微生物環境を整えます。
内服でも効果がないわけではないのですが、膣内投与の方が効果は高いので、当院では膣内に投与することとしています。

最近注目を浴びてきている新しい治療法です。
乳酸菌製剤は抗生剤が無効な耐性菌に対しても有効性がある可能性があります。
第2治療までで改善しない場合も効果を示すことがあります。
それとは別に第3・第4治療と抗生剤を乱用することによる耐性菌の出現を防ぐ効果があります。

乳酸菌といっても多種類があり多くのサプリメーカが販売していますが、製品の多くは菌の活性が低く全く有効でないものもあります。
有効な乳酸菌を遺伝子検査で確認できているうえで安全性の確認されている製品を当院からご案内します。